Пластический эстетический реконструктивный хирург, врач высшей категории. Имеет 20-летний стаж в области эстетической
медицины, являясь одним из наиболее опытных специалистов в России. На высоком профессиональном уровне выполняет весь
спектр пластических операций лица и тела, где внедряет ряд авторских методик. Один из ведущих хирургов, проводящий
все виды коррекций из раздела женской интимной пластики.
Александр Жуков окончил Башкирский
государственный медицинский институт по специальности лечебное дело, а также клиническую интернатуру по хирургии,
после чего — ординатуру в Московском государственном медицинском институте. Постоянный участник российских и
международных конференций по пластической хирургии, автор ряда научных статей.
С 2000 года Александр Жуков работает ведущим пластическим хирургом в многопрофильной клинике «Студия
эстетической медицины», у истоков образования которой он стоял, объединившись с группой
единомышленников — профессионалов в сфере реконструктивной, пластической, эстетической хирургии, андрологии,
гинекологии, хирургии снижения веса, профессиональной дерматокосметологии и др. С 1992 по 2000 гг. Александр Жуков
работал ведущим хирургом в Республиканском центре репродукции человека и планирования семьи Министерства
здравоохранения РФ под руководством основателя лечения транссексуализма в России, профессора В.И. Васильева. Все
проводимые в Центре коррекции являются уникальными, включая в себя элементы реконструктивной, пластической,
андрологической, гинекологической, урологической, сосудистой и ЛОР хирургии, а также других смежных направлений
медицины. Александр Жуков имеет уникальный опыт в операциях по смене пола, гармонизации внешности, изменению тембра
голоса, бьютификации лица и тела. Кроме того — в бариатрической хирургии, занимающейся квалифицированным
решением проблемы избыточного веса. С конца 1990-х гг. Александр Жуков активно развивает направление хирургии
красоты в своей практике. Он был одним из первых хирургов, выполнявшим пластические операции по увеличению молочных
желез посредством установки силиконовых имплантатов McGhan, появившихся в России в 1995 году. Им накоплен уникальный
опыт во всех видах липосакции, телоконтурирующих операциях, а также пластике лица и шеи. Опыт работы в Центре
репродукции человека позволяет на высочайшем уровне проводить все виды функциональной и эстетической пластики на
гениталиях — как у женщин, так и у мужчин.
Александр Жуков увлекается фотографией и яхтингом.
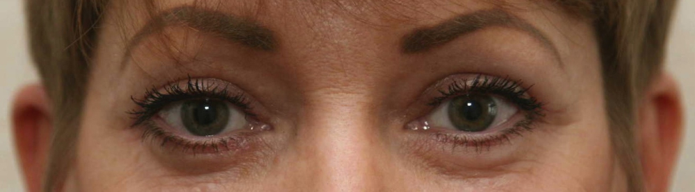
Здравствуйте всем! Отличную операцию по пластике век провел Жуков Александр Юрьевич. Малярные мешки и закрытые глаза от тяжёлого нависшего веко была причиной моего обращение в клинику Медси. У Жукова оперировалась моя сестра еще в 19 году, я хотела обратиться сразу после неё, но возникли проблемы на работе и в семье.. было не до этого. На консультации Александр Юрьевич поделился своим мнением, после осмотра рассказал о блефаропластике всё что нужно знать пациенту. После анализов назначили дату операции.
Операция прошла отлично, без каких либо осложнений и довольно быстро. Я сделала круговую блефаропластику, из за которой я стала выглядеть прилично моложе. Взгляд стал живой, открытый, молодой выразительный. Кожа подтянутая, пропали молярные мешки и нависшее веко. Довольна результатом, спасибо Александру Юрьевичу!!
Здравствуйте всем! Отличную операцию по пластике век провел Жуков Александр Юрьевич. Малярные мешки и закрытые глаза от тяжёлого нависшего веко была причиной моего обращение в клинику Медси. У Жукова оперировалась моя сестра еще в 19 году, я хотела обратиться сразу после неё, но возникли проблемы на работе и в семье.. было не до этого. На консультации Александр Юрьевич поделился своим мнением, после осмотра рассказал о блефаропластике всё что нужно знать пациенту. После анализов назначили дату операции.
Операция прошла отлично, без каких либо осложнений и довольно быстро. Я сделала круговую блефаропластику, из за которой я стала выглядеть прилично моложе. Взгляд стал живой, открытый, молодой выразительный. Кожа подтянутая, пропали молярные мешки и нависшее веко. Довольна результатом, спасибо Александру Юрьевичу!!
Здравствуйте! Меня зовут Оксана, мне 43. Я хочу выразить огромную благодарность Жукову Александру Юрьевичу лучшему из лучших пластических хирургов
Я очень долго мучилась с мешками под глазами если быть точнее лет 5 как, раньше хоть как то умудрялась скрывать это обвисшее мясо косметикой.
Сейчас я выгляжу на 30 мне делали Блефаропластику нижних век все прошло идеально все аккуратно швов не видно уже сейчас это спустя 2 месяца
Да были отеки и не большие синяки прошли они очень быстро уж на 3 тий день отеки и синячьки спали немного желтизна была и она ушла.
Немного расскажу про самого исполнителя данной операции, это заботливый, внимательный и добрый специалист тонкая и аккуратная работа на высшем уровне
Жуков Александр Юрьевич Огромная Вам благодарность за вашу работу буду и дальше молодеть только с вами!

Зимой была ринопластика у меня, хирург Жуков делал, специально приезжала для этого в Москву. В клинике условия хорошие, хирург обходительный, вежливый и очень культурный человек, образованный. Сразу видно, что к специалисту высокой квалификации попала. У меня нос был некудышным, ноздри широкие, форма ужас с детства мучилась. Жуков подобрал методику, которая мне помогла, получилось очень хорошо.
Я оперировалась у Александра Юрьевича Жукова в Москве. Нужно было сделать круговую блефаропластику. Были проблемы с жировыми грыжками и отечность хроническая возрастная была, хотела приподнять уголки век и сами веки верхние тоже, омолодиться получше. В 36 очень неприятно выглядеть на десять лет старше и стыдно. Я нашла Жукова и очень счастлива, что смогла к нему попасть, проблема моя была решена)) После операции довольно легко проходит восстановление, отеки незначительные.
Александр Жуков в блефаропластике супер мастер. Мать-природа завистливо теперь вздыхает в сторонке. Он убрал нависающие верхние веки и мешки под глазами, которые прибавляли с десяток лет при моих тридцати. Все в целом не так чтобы страшно, но если можно изменить, то почему же нет. Грыжи он мне удалил, шовчики тоненькие были. Со временем становились все малозаметнее. Довольна не передать словами. Следов не осталось, хотя и боялась их. Больше года прошло, если б не знала, что это дел рук доктора — не поверила бы. Очень круто. Вроде бы убрались только избытки кожи, а ведь лицо заиграло по-другому. Глазки светятся, а не тускло смотрят на мир устало, как было раньше. Нравлюсь окружающим, а самое главное — самой себе
Блефаропластику делала в клинике при Минздраве РФ, отличная клиника и отдельное СПАСИБО моему хирургу — Жукову Александру Юрьевичу. Я день провела в больнице после оп и потом еще дней 7 дома, пока спали отеки. У меня никаких проблем не было с реабилитационным периодом. Правда выходила на улицу первое время в темных очках, чтоб никого не пугать своей «красотой»)) Зато теперь, прошло чуть больше месяца уже, и я прекрасна! Вообще не видно,что была операци